Andrii Litvin

Stomatolog zachowawczy, protetyk / ponad 13 lat doświadczenia
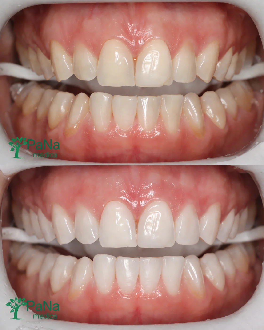
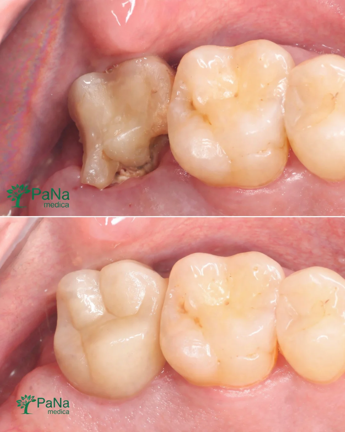
Dzięki doświadczeniu i podejściu lekarza Twoje zęby mogą wyglądać naprawdę perfekcyjnie. Artystyczna odbudowa pozwala stworzyć uśmiech, który wygląda naturalnie i estetycznie — jak z najlepszych metamorfoz.
„Dla mnie ważne jest nie tylko to, żeby było ładnie, ale też żebyś był spokojny o efekt. Dlatego zawsze tłumaczę, co robię i dlaczego.”
Andrii Litvin
Znajomość języków:
Pl | Uk | Ru | En














