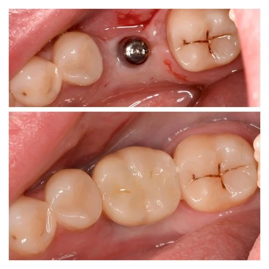
Nie widać, że to nie Twój ząb
Na co dzień nikt nie powinien widzieć różnicy — ani w kolorze, ani w kształcie. Żeby nie było wrażenia, że „ten ząb jest jakiś inny”
Możesz jeść spokojnie, jak swoimi zębami
Bez sytuacji, że jedzenie się zaklinowuje albo ciągle sprawdzasz coś językiem. Po prostu naturalne odczucie — jak przy swoich zębach
Nie odpadnie i nie będzie się ruszać
To nie jest historia, w której trzeba się zastanawiać, czy coś się odkręci albo zacznie ruszać. Zakładamy — i po prostu żyjesz dalej, bez myślenia o tym na co dzień
Najczęstsze pytania o korony na implantach

✔️ Czy będzie wyglądał jak naturalny ząb?
ak, jeśli zrobi się to dobrze. Nie chodzi tylko o to, żeby dobrać kolor, ale też o to, żeby kształt i detale były dopasowane tak, żeby ząb nie wyróżniał się obok innych. Na co dzień nie powinno to zwracać uwagi — ani w rozmowie, ani na zdjęciach.
Ważne jest też to, żeby chirurg wykonał plastykę dziąsła. Pisaliśmy o tym dokładniej na stronie o implantacji.

✔️ Jak długo to w ogóle wytrzyma?
To nie jest rozwiązanie na chwilę. Przy dobrym wykonaniu i odpowiedniej higienie taka korona może służyć naprawdę długo. Dużo zależy od tego, jak wszystko zostało zrobione na początku i jak ząb funkcjonuje w zgryzie. Ważna jest też praca chirurga.

✔️ Skąd tak duże różnice w cenach?
Na pierwszy rzut oka może się wydawać, że wszędzie to „ta sama korona”. Ale różnica jest w tym, jak się ją robi, z czego i jak dokładnie jest dopasowana. I to właśnie wpływa na wygodę, odczucia i to, czy za jakiś czas trzeba będzie coś poprawiać.

✔️ Czy jedzenie nie będzie się tam zatrzymywać?
Jeśli wszystko jest dobrze zrobione, po prostu o tym nie myślisz. Ale kiedy kontakt jest za słaby albo pojawia się szczelina, zaczyna to codziennie irytować — jedzenie się zatrzymuje i trzeba ciągle coś czyścić. Dlatego przykładamy do tego dużą wagę.

✔️ Czy na pewno będzie wygodnie jeść?
Tak, jeśli korona jest dobrze ustawiona i prawidłowo kontaktuje się z innymi zębami. Wtedy nie ma uczucia nacisku ani „czegoś dodatkowego”. W idealnym scenariuszu po prostu jesz i nawet nie czujesz, że to nie Twój ząb.
Efekty leczenia












