Wydaje Ci się, że leczenie potrwa całe lata?
Średni czas leczenia przy stłoczeniu zębów i problemach ze stawem to 14 miesięcy — nawet o 40% krócej niż przy klasycznym podejściu.
Czy leczenie nie pogorszy zgryzu ani pracy stawu?
Ustawiamy prawidłową pozycję stawu żuchwy. Leczenie planujemy z uwzględnieniem pracy stawu i zgryzu — tak, żeby efekt był nie tylko estetyczny, ale też wygodny w codziennym życiu.
Mój przypadek jest skomplikowany — czy w ogóle warto zaczynać?
Ta metoda działa przy każdym stopniu trudności. Leczenie zawsze planujemy z wyprzedzeniem i bierzemy pod uwagę wszystkie ryzyka. Gdy plan jest gotowy, od początku wiadomo, jaki będzie efekt
Wyróżniamy się i jesteśmy z tego dumni
Co to jest cyfrowa ortodoncja gnatologiczna?
✔️ To nie jest tylko prostowanie zębów. Patrzymy całościowo: jak działa zgryz, jak pracuje staw i czy to będzie dla Ciebie komfortowe w codziennym życiu, a nie tylko estetyczne na zdjęciach
✔️ Od początku uwzględniamy staw i ustawiamy go w prawidłowej pozycji. Bez tego można uzyskać proste zęby, ale z czasem pojawia się dyskomfort albo przeciążenia
✔️ Zaczynamy od planu, nie od aparatu. Tworzymy cyfrowy model, sprawdzamy kilka wariantów i wybieramy ten, który będzie dobrze funkcjonował, a nie tylko dobrze wyglądał
✔️ Już na starcie wiesz, co Cię czeka: jak będą przemieszczać się zęby, ile potrwa leczenie i do jakiego efektu zmierzamy
✔️ Dalej realizujemy plan bez niepotrzebnych zmian. Prowadzimy zęby od razu do docelowej pozycji — dlatego leczenie jest spokojniejsze i często szybsze
✔️ W skrócie: pracujemy z całym układem, nie tylko z pojedynczymi zębami — żeby było i prosto, i wygodnie. I właśnie dlatego kończymy leczenie nawet o 40% szybciej niż w klasycznej ortodoncji
Pavel Borukhau (założyciel PaNa Medica)

Etapy leczenia

1. Badanie i rozmowa
Zaczynamy od dokładnej diagnostyki: CBCT, zdjęcia, skan zębów i analiza zgryzu. Jednocześnie spokojnie omawiamy, co chcesz zmienić i jaki efekt chcesz osiągnąć

2. Planowanie i wizualizacja 3D
Dalej przygotowujemy wszystko po naszej stronie i układamy to w cyfrowy plan. Widzisz wizualizację 3D efektu końcowego i od razu wiesz, jak będą przemieszczać się zęby i jaki będzie rezultat

3. Akceptacja planu
Na tym etapie decydujesz, czy taki efekt jest dla Ciebie okej. Bez „zaczniemy i zobaczymy, co będzie dalej” — wszystko masz jasno pokazane z góry.

4. Ustawienie żuchwy i stawu
Zanim zaczniemy leczenie, ustalamy prawidłową pozycję żuchwy. To fundament — bez tego nie da się osiągnąć stabilnego i wygodnego zgryzu

5. Szynoterapia
Często, żeby spokojnie i bezboleśnie ustawić staw w odpowiedniej pozycji, stosujemy specjalne nakładki (szyny)

6. Doginanie łuków według planu
Łuki przygotowuje robot na podstawie cyfrowego planu — bez ręcznego doginania „na oko”. Dokładność to około 20 mikronów, dlatego zęby przesuwają się bardzo precyzyjnie i zgodnie z planem

7. Zakładanie aparatów ortodontycznych
Po dokładnym przygotowaniu mocujemy aparat, nakładki terapeutyczne i od razu zakładamy łuki. Od tego momentu rozpoczyna się aktywna faza leczenia

8. Kontrola i korekta
Na każdej wizycie nie tylko zmieniamy łuki, ale sprawdzamy, czy efekt w jamie ustnej zgadza się z planem. Jeśli coś odbiega od założeń (bo organizm reaguje różnie i to normalne), od razu korygujemy i dopasowujemy leczenie

9. Zakończenie i utrzymanie efektu
Kiedy osiągniemy docelowy efekt, zdejmujemy aparat i zakładamy retainer. Utrzymuje on zęby w odpowiedniej pozycji, żeby efekt się nie cofnął
Alignery czy aparat ortodontyczny?

Alignery
Sprawdzają się, jeśli trzeba lekko przesunąć zęby i delikatnie poprawić uśmiech. To dobre rozwiązanie przy niewielkich zmianach, kiedy nie jest potrzebna głęboka praca ze zgryzem i stawem

Aparat ortodontyczny
Sięgamy po nie wtedy, gdy potrzebne są poważniejsze zmiany — praca ze zgryzem, stawem i całym układem. Jeśli masz dyskomfort, trzaski w stawie, napięcie mięśni, bóle głowy albo uszu, takie przypadki najlepiej rozwiązywać aparatem
Podsumowanie:
✔️ Jak widzisz, przy mniejszych zmianach i lekkiej korekcie alignery często w zupełności wystarczą
✔️ Ale jeśli w grę wchodzą większe problemy — ze zgryzem, stawem albo ustawieniem zębów — lepiej rozważyć aparat
Każdy przypadek jest inny, dlatego nie ma jednego rozwiązania dla wszystkich
✔️ Najlepiej zacząć od diagnostyki — na spokojnie zrozumieć sytuację i dobrać rozwiązanie dopasowane do Ciebie
Umów się na konsultację — zrobimy dokładne badanie, wszystko wytłumaczymy prostym językiem i pokażemy, które rozwiązanie będzie najlepsze i najtrwalsze
I tak — alignery też robimy. Ale tylko wtedy, kiedy naprawdę mają sens
Wiek nie ma znaczenia

✔️ Wiele osób myśli, że aparat i poprawa zgryzu to tylko dla młodych — ale to mit. Ortodoncja działa też u dorosłych. Zęby można przesuwać zarówno po 30., jak i po 40. roku życia, tylko leczenie planuje się wtedy bardziej świadomie i dokładnie
✔️ Często za myślą „jest już za późno” stoi nie wiek, tylko obawa przed efektem i brak zrozumienia, jak to wygląda. Tak naprawdę kluczowe jest nie ile masz lat, tylko w jakim stanie są zęby, kość i zgryz — to od tego zależy plan leczenia
✔️ Dzięki cyfrowemu podejściu możemy wcześniej zaplanować ruch zębów, uwzględnić obciążenia i pracę stawu — tak, żeby leczenie było nie tylko estetyczne, ale też wygodne
✔️ U dorosłych działamy ostrożniej i czasem leczenie trwa trochę dłużej, ale za to efekt jest bardziej stabilny i przewidywalny
✔️ Dlatego nie chodzi o wiek, tylko o dobre podejście i dobranie rozwiązania, które będzie odpowiednie właśnie dla Ciebie
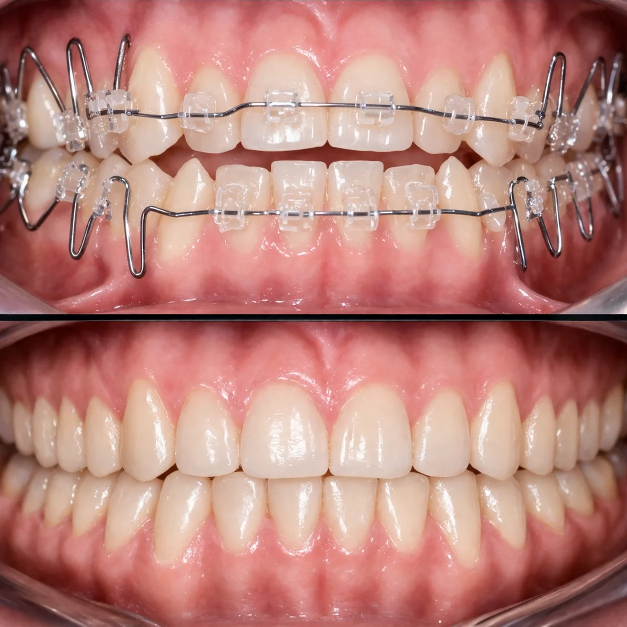
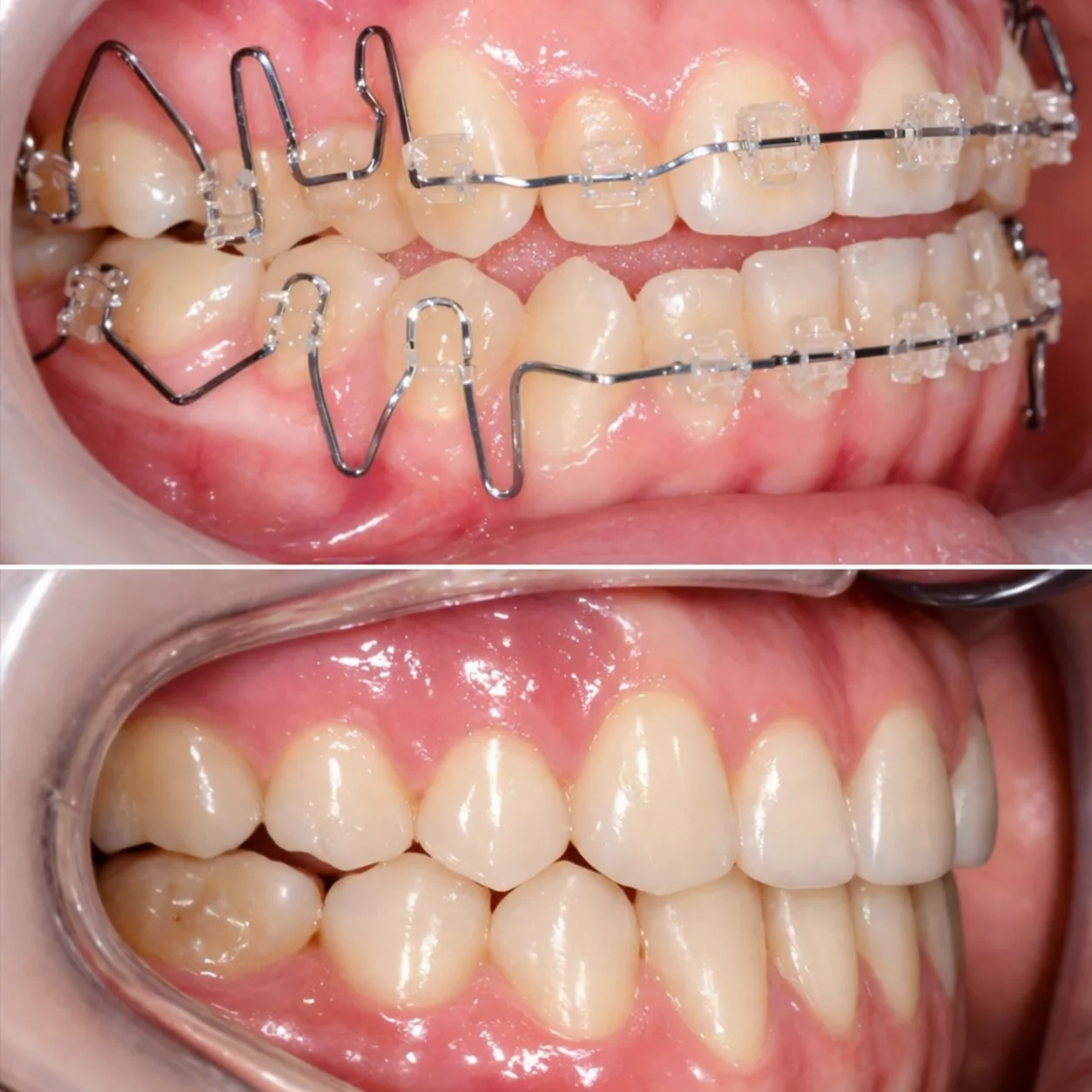
Efekty leczenia



Nasz zespół lekarzy
Umów się na wizytę
0
zadowolonych pacjentów
0
wysoko wykwalifikowanych lekarzy
0
przychodzą z polecenia
0
lat doświadczenia









