A co jeśli po leczeniu coś pójdzie nie tak?
To bardzo dobre i naturalne pytanie. Dlatego zapewniamy nie tylko leczenie, ale też pełną opiekę po nim.
Nie chcę znowu tego poprawiać za rok
Tak się dzieje, gdy leczenie jest robione „na bieżąco”, bez konkretnego planu. My wszystko planujemy z wyprzedzeniem — bierzemy pod uwagę, jak ząb będzie funkcjonował pod obciążeniem, w zgryzie i z czasem. Dzięki temu nie wracasz ciągle do tego samego problemu.
A jeśli da się obejść bez korony?
Czasem się da. Ale jeśli ząb jest już osłabiony, zwykłe wypełnienie będzie trzymać się gorzej i problem może wrócić. Dlatego najpierw oceniamy, ile zdrowej tkanki zostało i jakie obciążenie ząb będzie musiał wytrzymać — dopiero potem proponujemy najlepsze rozwiązanie
Korona czy wkład — to nie jest kwestia wyboru usługi

To decyzja o tym, jak ząb będzie funkcjonował dalej.
Patrzymy nie tylko na „dziurę”, ale na całość:
✔️ ile zostało własnych tkanek zęba
✔️ jakie obciążenie musi wytrzymać
✔️ jak kontaktuje się z innymi zębami (zgryz)
✔️ jakie są ryzyka w dłuższej perspektywie
Czasem wystarczy wkład ceramiczny, żeby zachować jak najwięcej naturalnego zęba.
A czasem potrzebna jest korona, żeby skutecznie ochronić go przed dalszym uszkodzeniem
Dlaczego leczenie zębów często trzeba robić od nowa?

Problem nie leży w materiałach ani w „jakości rąk”. Najczęściej chodzi o brak planu.
Gdy leczenie robi się „na bieżąco”, wygląda to tak:
dziś coś naprawione → potem się ukruszyło → znowu poprawka.
Ząb stopniowo traci swoją wytrzymałość, a z czasem sytuacja robi się coraz bardziej skomplikowana.
My pracujemy inaczej:
✔️ najpierw dokładnie analizujemy, co dzieje się z zębem i jakie są możliwe scenariusze,
✔️ dopiero potem wybieramy rozwiązanie, za które możemy odpowiadać nie tylko dziś, ale też za kilka lat.
Dobry efekt to taki, kiedy po prostu przestajesz myśleć o tym zębie
O tym, dlaczego to jest ważne

✔️ Gdy ząb jest mocno zniszczony, zwykłe wypełnienie może już nie wystarczyć, żeby wytrzymał obciążenie i służył przez lata.
W takich sytuacjach rekomendujemy wkłady ceramiczne lub korony — nie dlatego, że „chcemy komplikować”, tylko dlatego, że to po prostu bezpieczniejsze i trwalsze rozwiązanie dla zęba.
To nie jest zbędna ingerencja — to ochrona: zachowujemy to, co zostało, i wzmacniamy ząb.
✔️ Ceramika bardzo dokładnie odwzorowuje kształt zęba, równomiernie rozkłada siły i zmniejsza ryzyko pęknięć czy ukruszeń.
W przeciwieństwie do dużych plomb, które z czasem mogą osłabiać ściany zęba, takie rozwiązania pomagają zachować jego integralność na lata.
To szczególnie ważne, jeśli ząb był już leczony albo jest mocno obciążony podczas gryzienia.
✔️ Czasem lepiej zrobić jeden, bardziej trwały krok teraz, niż później mierzyć się z pęknięciem zęba i dużo bardziej skomplikowanym leczeniem — aż po usunięcie i implantację.
Naszym celem nie jest tylko „zamknąć problem”, ale zrobić tak, żebyś nie musiał do niego wracać
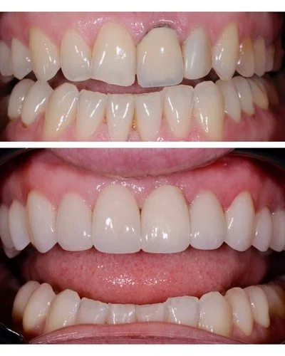
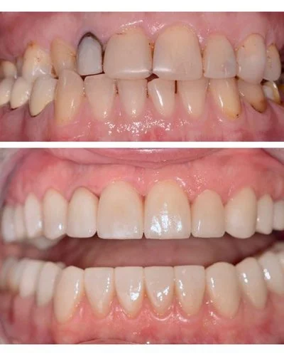
Metamorfozy naszych pacjentów





Dlaczego często pracujemy w powiększeniu?

To po prostu sposób, żeby zrobić to dobrze — za pierwszym razem
Podczas leczenia protetycznego często pracujemy w powiększeniu — z użyciem mikroskopu lub specjalnych systemów optycznych.
To nie jest „dla zasady” ani po to, żeby coś komplikować — chodzi o precyzję, która bezpośrednio wpływa na efekt.
W powiększeniu lekarz widzi najmniejsze detale: jak dokładnie przylega praca, gdzie może zostać mikroszczelina, jak opracowane są tkanki zęba.
To, czego nie widać gołym okiem, z czasem może prowadzić do problemów — od dyskomfortu po konieczność ponownego leczenia.
Gdy wszystko jest wykonane precyzyjnie, korony i wkłady są idealnie dopasowane, nie podrażniają tkanek i służą znacznie dłużej.
Ma to też ogromne znaczenie dla estetyki — granica pracy wygląda naturalnie i jest praktycznie niewidoczna.
Tak, taka praca wymaga więcej czasu i skupienia, ale to właśnie z takich detali powstaje efekt, którego nie trzeba poprawiać.
Dla nas to kwestia odpowiedzialności — zrobić raz, a dobrze i na lata
Nasz zespół lekarzy
Umów się na wizytę
0
zadowolonych pacjentów
0
wysoko wykwalifikowanych lekarzy
0
przychodzą z polecenia
0
lat doświadczenia









